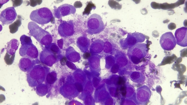
Científicos estadounidenses y alemanes han identificado lo que consideran el "talón de Aquiles" de los tumores cancerosos: el bloqueo de un compuesto químico, llamado ATF4, que controla su alimentación y los lleva a sobrecargarse y autodestruirse. Ese mecanismo se ha manifestado en una variedad de formas de cáncer humano y en ratones con cáncer intestinal y sanguíneo.
Los resultados de este estudio fueron publicados en la revista Nature Cell Biology el 1 de julio. Uno de los autores de la investigación, el profesor Constantinos Koumenis, de la Universidad de Pennsylvania (EE.UU.), expllicó cómo junto con sus colegas descubrieron que el ATF4 controla una ruta química que funciona en conjunto con un gen llamado Myc, clave en el desarrollo de la mayoría de los tumores.
El bloqueo de las rutas del ATF4 hace que las células cancerosas produzcan un exceso de proteínas específicas, llamadas 4E-BP, y mueran por estrés, señalan los investigadores. Esto detuvo, en pruebas de laboraorio, linfomas y tumores intestinales que crecían tanto en ratones como en humanos.
Simultáneamente, los ya existentes inhibidores de la producción de ATF4 han sido relacionados con una serie de enfermedades como el Parkinson y el Alzheimer. Esto trae esperanzas para un rápido avance en el tratamiento revolucionario de una forma de cáncer que se cobra la vida de unos 10 millones de personas anualmente.
