Internacional
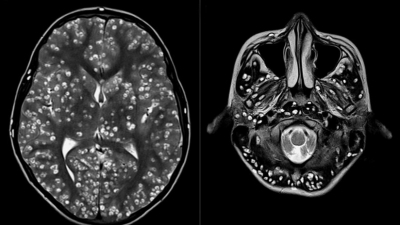
Tras practicarle una resonancia magnética y exámenes de ultrasonido, los especialistas encontraron que la corteza cerebral y el tronco encefálico del paciente estaban llenos de larvas.
Más de 4.400 afroamericanos fueron linchados entre 1877 y 1950 como un espectáculo público, según los datos recabados recientemente por la Iniciativa para una Justicia Igualitaria
El voto en contra aboca al Reino Unido a decidir el 12 de abril entre una salida abrupta o una prórroga larga
El Pontífice promulgó una nueva y amplia legislación sobre abusos sexuales para el personal del Vaticano y los diplomáticos de la Santa Sede
Más...
La joven viajera francesa se dio cuenta de la presencia del dispositivo de filmación cuando terminaba de ducharse en un hostal australiano.
La joven, de 19 años, fue acusada de "imprudencia temeraria" al "provocar un riesgo sustancial de muerte o lesiones físicas graves" a su amiga.
Según los documentos judiciales, después de cometer la violación se quedó unos minutos hablando con su víctima.
El portavoz del Ministerio de Asuntos Exteriores, Geng Shuang, ha comentado las declaraciones del asesor de Seguridad Nacional del presidente de EE.UU., John Bolton, sobre la inadmisibilidad de la injerencia de los países "hostiles" en la situación en Venezuela.
