Ciencia y Tecnología
El fotógrafo Zhayynn James registró en la zona de conservación de Ngorongoro (Tanzania) una imagen inusual de dos cebras que se convirtió en una ilusión óptica.
Publicado en
Ciencia y Tecnología
En las noches sin luna, parece una mancha turbia en el negro sin fondo del cielo, un manto de luces de Navidad lejanas y opacas en el oscuro absoluto…
Publicado en
Ciencia y Tecnología
Publicado en
Ciencia y Tecnología
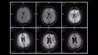
Las imágenes corresponden a un varón de 45 años que sufrió leucoencefalopatía inducida por la droga.
Publicado en
Ciencia y Tecnología
Más...
El experimento podría abrir nuevas perspectivas para crear órganos trasplantables destinados a las personas.
Publicado en
Ciencia y Tecnología
Según la Organización Mundial de la Salud (OMS), una de cada tres personas fallece cada día a causa de enfermedades cardiovasculares en todo el mundo
Publicado en
Ciencia y Tecnología
La Universidad de Oviedo abre la puerta al tratamiento del envejecimiento humano modulando la flora intestinal
Publicado en
Ciencia y Tecnología
Un nuevo estudio llevado a cabo por científicos de la Universidad Nacional Autónoma de México (UNAM) ha revelado que el vientre materno no protege a los fetos a la exposición de partículas contaminantes PM2,5.
Publicado en
Ciencia y Tecnología
